티스토리 뷰
목차
치아는 우리 몸에서 매우 중요한 역할을 합니다. 그러나 때때로 우리의 치아가 너무 많이 자라나는 과잉치아 현상이 발생할 수 있습니다. 이러한 현상은 단순히 치아 수의 문제를 넘어선 다양한 구강 건강 문제를 일으킬 수 있으며, 이에 대한 적절한 이해와 관리가 필요합니다. 본 글에서는 과잉치아의 원인, 그것이 우리의 구강 건강에 미치는 영향, 그리고 이를 어떻게 관리해야 할지에 대해 자세히 알아보겠습니다.

🦷 과잉치아의 원인
과잉치아의 원인은 매우 다양하며, 구체적인 메커니즘은 아직 완전히 이해되지 않았지만, 몇 가지 주된 원인들을 깊이 있게 살펴볼 수 있습니다.
첫 번째로, 유전적 요인이 과잉치아 발생에 크게 기여합니다. 과잉치아는 종종 가족 내에서 반복적으로 나타나는 경향이 있습니다. 이는 특정 유전자의 변이나 유전적 경향성이 있음을 시사합니다. 연구에 따르면, 과잉치아가 있는 환자의 가족 구성원 중에서도 비슷한 증상을 경험한 경우가 상당수 보고되었습니다. 이는 과잉치아 발생에 있어 유전적 요인이 중요한 역할을 한다는 것을 강조합니다.
두 번째로, 구강 내 환경 변화는 과잉치아의 발생에 영향을 줄 수 있습니다. 구강 내 염증, 조직의 손상 또는 복구 과정에서 비정상적인 세포 분열과 성장이 일어날 수 있으며, 이러한 변화는 추가적인 치아 발달을 유발할 수 있습니다. 예를 들어, 구강 내 염증이나 상처로 인해 치아 발생에 관여하는 조직의 활성화가 촉진될 수 있습니다.

세 번째로, 영양 과잉 상태나 호르몬 변화도 과잉치아의 원인으로 꼽힙니다. 특히, 성장기 어린이의 경우 적절하지 않은 영양 상태나 호르몬의 불균형이 치아 발달에 영향을 줄 수 있습니다. 과잉의 비타민 A나 D의 섭취는 치아 발생 과정에 영향을 미칠 수 있으며, 이는 과잉치아 발생의 위험을 증가시킬 수 있습니다. 또한, 청소년기의 호르몬 변화는 치아와 관련한 조직의 성장과 발달에 영향을 미치며, 이는 과잉치아의 형성에 기여할 수 있습니다.
이러한 요인들은 서로 복합적으로 작용하여 과잉치아를 유발할 수 있으며, 개인의 구체적인 상황과 건강 상태에 따라 영향의 정도가 다를 수 있습니다. 따라서, 과잉치아의 정확한 원인을 파악하기 위해서는 전문가의 진단과 상담이 필요합니다.
🦷 과잉치아가 미치는 영향
과잉치아는 구강 내에서 여러 가지 복잡한 문제를 야기할 수 있습니다. 이러한 문제들은 단순히 미관상의 문제를 넘어서 구강 건강과 전반적인 삶의 질에 영향을 미칠 수 있습니다.

첫째, 과잉치아는 치아의 정렬을 방해하여 치열 불균형을 초래할 수 있습니다. 과잉치아가 존재함으로써 주변의 정상적인 치아가 자리를 잡지 못하고 밀려나거나 비틀어질 수 있습니다. 이는 미관상으로 불만족스러울 뿐만 아니라, 치아가 제대로 맞물리지 않아 씹는 기능에도 영향을 줄 수 있습니다. 또한, 치열이 불규칙해지면 칫솔질과 같은 기본적인 구강 위생 관리가 어려워지며, 이는 충치나 치주 질환의 위험을 증가시킵니다.
둘째, 과잉치아는 제거되지 않을 경우 주변 치아의 발달에 영향을 줄 수 있습니다. 특히 어린이와 청소년의 경우, 과잉치아가 영구치의 정상적인 발달을 방해하여 치아가 제 위치에 나오지 못하게 할 수 있습니다. 이는 장기적으로 치료가 복잡해지고 비용이 많이 드는 치과적 문제로 이어질 수 있습니다.
셋째, 과잉치아는 때때로 통증이나 불편함을 유발할 수 있습니다. 이는 과잉치아가 주변 조직에 압력을 가하거나, 제대로 된 위치에 나오지 못하고 잇몸 안에서 고통을 유발할 때 발생합니다. 이러한 불편함은 환자의 일상생활에 영향을 미치며, 경우에 따라서는 심리적 스트레스까지도 초래할 수 있습니다.
넷째, 과잉치아는 드물게 낭종이나 종양과 같은 구강 내 병변의 발달을 촉진할 수 있습니다. 과잉치아가 잇몸에 매몰되어 있을 때, 해당 부위에서 염증 반응이나 조직의 비정상적인 성장을 유도할 수 있으며, 이는 구강 건강에 심각한 위협이 될 수 있습니다.
🦷 과잉치아의 관리 방법
과잉치아의 적절한 관리는 구강 건강을 유지하기 위해 매우 중요합니다. 다음은 과잉치아를 관리하기 위한 구체적이고 자세한 방법들입니다.

1. 정기적인 치과 검진
- 초기 발견 : 정기적인 치과 검진은 과잉치아를 조기에 발견하는 데 필수적입니다. 특히 어린 시절부터 정기적으로 치과를 방문하면 과잉치아가 미치는 영향을 최소화할 수 있습니다.
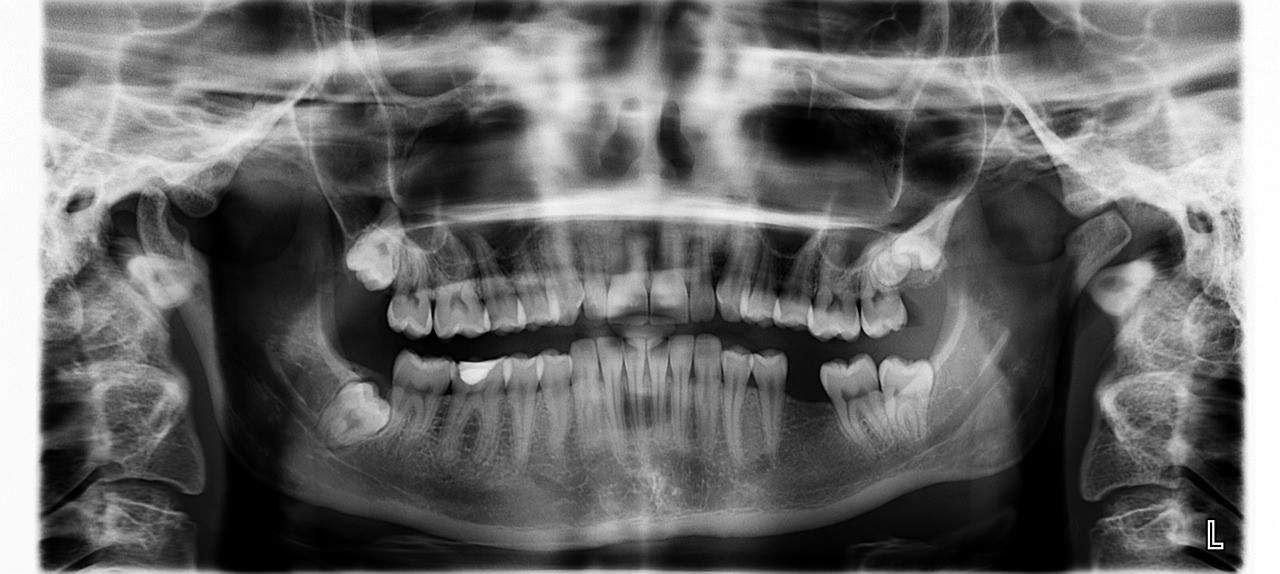
- X-레이 검사 : 치과 전문의는 X-레이 검사를 통해 과잉치아의 존재 여부와 위치, 그리고 주변 치아와의 관계를 정확히 파악할 수 있습니다. 이는 적절한 치료 계획을 세우는 데 중요한 정보를 제공합니다.
2. 수술적 치료
- 과잉치아 제거 : 만약 과잉치아가 주변 치아의 배열에 부정적인 영향을 주거나 통증을 유발한다면, 제거하는 것이 가장 효과적인 방법일 수 있습니다. 이 과정은 일반적으로 국소 마취 하에 진행되며, 치과 전문의나 구강외과 전문의가 수술을 수행합니다.
- 사후 관리 : 수술 후에는 적절한 관리가 필요합니다. 수술 부위를 깨끗하게 유지하고 치과의 지시에 따라 약물을 복용함으로써 감염의 위험을 줄이고 빠른 회복을 도울 수 있습니다.

3. 교정 치료
- 치아 배열 문제 해결 : 과잉치아로 인해 치아 배열이 어긋난 경우, 치과 교정 치료가 필요할 수 있습니다. 이는 브라켓, 와이어, 투명 교정 장치 등을 사용하여 치아를 올바른 위치로 이동시키는 치료입니다.
- 장기적 계획 : 교정 치료는 시간이 오래 걸릴 수 있으므로, 치과 전문의와 긴밀하게 협력하여 장기적인 치료 계획을 세우는 것이 중요합니다.
4. 일상생활에서 구강 위생 관리
- 철저한 양치질 : 과잉치아가 있는 경우, 치아 사이에 음식물이 더 잘 끼일 수 있으므로 철저한 양치질이 필요합니다. 하루 두 번 이상, 특히 식사 후에는 반드시 양치질을 하도록 합니다.
- 치실 사용 : 치실을 사용하여 치아 사이의 플라그와 음식물을 제거하는 것도 중요합니다. 과잉치아가 있는 부위는 특히 신경 써서 청결을 유지해야 합니다.
- 구강 청결제 사용 : 구강 청결제를 사용하여 입안을 헹구면 세균을 줄이고 구강 건강을 유지하는 데 도움이 됩니다.
5. 정기적인모니터링
- 과잉치아의 상태는 시간이 지남에 따라 변할 수 있으므로, 정기적인 검진을 통해 지속적으로 모니터링하는 것이 중요합니다. 이를 통해 문제를 조기에 발견하고 즉각적인 조치를 취할 수 있습니다.
과잉치아는 구강 건강에 여러 가지 문제를 일으킬 수 있으며, 이에 대한 올바른 이해와 관리가 필요합니다. 정기적인 치과 검진과 적절한 치료, 그리고 철저한 구강 위생 관리를 통해 과잉치아로 인한 문제를 예방하고 건강한 구강 상태를 유지할 수 있습니다. 이러한 관리는 단순히 과잉치아뿐만 아니라 우리의 전반적인 구강 건강을 위해서도 매우 중요합니다.